Peritonitis esclerosante encapsulante. Serie de casos con seguimiento a largo plazo
Resumen
Objetivo: Describir los hallazgos clínicos, imagenológicos y quirúrgicos de 4 pacientes diagnosticados con peritonitis esclerosante encapsulante (PEE) primaria, también conocido como síndrome de Cocoon.
Metodología: Se extraen datos de ficha clínica, resultados de biopsia, estudio de imágenes y laboratorio perioperatorio. Se realiza además una búsqueda bibliográfica en Pubmed y Scielo utilizando términos “peritonitis esclerosante encapsulante”, “síndrome de Cocoon” y “peritonitis esclerosante primaria”.
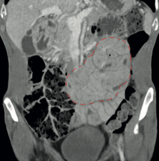
Resultados: Se presentan 4 pacientes masculinos, ingresados por dolor abdominal, vómitos y baja de peso. El 75% tuvo diagnóstico preoperatorios por tomografía computada (TC), mostrando obstrucción duodeno-yeyunal con dilatación duodenal y gástrica. Se confirmaron diagnósticos mediante biopsia postquirúrgica. La intervención fue abierta, con adherenciolisis y resección de cápsula fibrosa. Se logra un 100% de seguimiento con hasta 17 años del primera caso. Un paciente presentó obstrucción intestinal a los 9 años de seguimiento, la mayoría recuperó peso y mejoró su calidad de vida.
Discusión: La PEE se caracterizada por una membrana fibrocolágena que envuelve el intestino delgado, causando obstrucción. Sus síntomas son inespecíficos, destacando pérdida de peso, vómitos y dolor abdominal. El manejo es quirúrgico, con resultados adecuados y un perfil de complicaciones aceptables, dado lo infrecuente de la condición esta serie es posiblemente la más grande presentada a nivel nacional con seguimiento a largo plazo.
Conclusión: La peritonitis esclerosante encapsulante es una patología infrecuente que se debe manejar de forma multidisciplinaria. Los mecanismos inmunomediados podrían estar involucrados en la etiología, sin embargo, se necesitan más estudios para clarificar estos aspectos así como su comportamiento a largo plazo.
DOI: http://dx.doi.org/10.35687/s2452-454920260022830
Copyright (c) 2026 Revista de Cirugía

Este obra está bajo una licencia de Creative Commons Reconocimiento 4.0 Internacional.




