Hernia Hiatal Masiva

Resumen
Objetivo: Presentar 2 casos de hernia hiatal masiva y revisar la literatura sobre el tema.
Materiales y métodos: Se obtiene información de ficha electrónica de ambos casos y se realiza revisión de la literatura sobre clasificación y manejo.
Resultados: Se presentan 2 casos clínicos de hernia hiatal masiva con distintas formas de presentación, ambas con manejo quirúrgico y buena evolución postoperatoria.
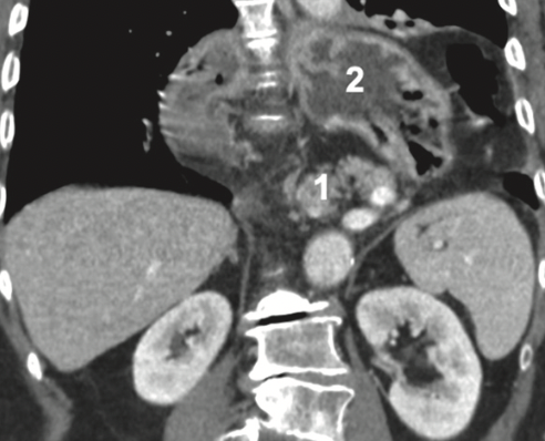
Discusión: Las hernias hiatales paraesofágicas tipo IV suelen contener todo el estómago, colon transverso, epiplón, a veces intestino delgado y más raro el bazo. En la hernia hiatal masiva (HHM) a los órganos señalados se suman el duodeno, la vía biliar y el páncreas. La HHM es de rara ocurrencia y constituye un desafío quirúrgico. La literatura reporta algo más de una treintena de casos en los últimos 50 años casos, no todos operados. El manejo debe ser quirúrgico y precoz, a fin de restaurar prontamente la anatomía y realizado por un equipo con experiencia en el manejo de hernias hiatales complejas.
DOI: http://dx.doi.org/10.35687/s2452-454920240052215
Copyright (c) 2024 Revista de Cirugía

Este obra está bajo una licencia de Creative Commons Reconocimiento 4.0 Internacional.