Quistes de duplicación gástrica como diagnóstico diferencial de tumor del estroma gastrointestinal (GIST). Reporte de caso
Resumen
Objetivo: Describir los hallazgos clínicos, imagenológicos y quirúrgicos de una paciente sometida a gastrectomía parcial por sospecha de GIST, cuya biopsia reveló la presencia de tres quistes de duplicación gástrica.
Materiales y Método: Se obtuvieron datos de ficha clínica de la paciente y se realizó una revisión bibliográfica empleando los términos "quiste de duplicación gástrica en adultos" y "duplicación gástrica". Se utilizó inteligencia artificial para corrección gramatical, redacción y modificación de algunas imágenes.
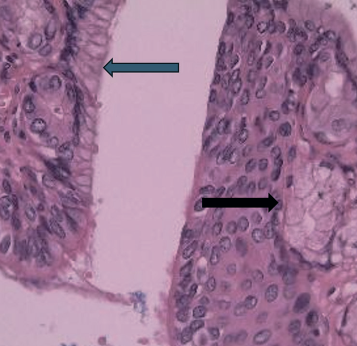
Resultados: Se presenta el caso de una paciente femenina de 25 años que consultó por síntomas abdominales inespecíficos. Se realizó un estudio imagenológico y endoscópico que fue sugerente de GIST, definiéndose resolución quirúrgica. Con abordaje laparoscópico, se identificaron tres lesiones gástricas: dos evidenciadas por imágenes preoperatorias y otra por endoscopia intraoperatoria. Se llevó a cabo la resección de estas mediante diferentes técnicas, evolucionando sin incidentes. La biopsia confirmó el diagnóstico de tres quistes de duplicación gástrica.
Discusión: Los quistes de duplicación gástrica corresponden a una patología congénita poco frecuente, cuyo diagnóstico es predominantemente neonatal o en edad pediátrica, siendo raro en adultos
DOI: http://dx.doi.org/10.35687/s2452-454920260012735
Copyright (c) 2026 Revista de Cirugía

Este obra está bajo una licencia de Creative Commons Reconocimiento 4.0 Internacional.




