Carcinoma hepatocelular exofítico con debut hemorrágico: retos terapéuticos.
Resumen
Objetivo: Análisis a partir de un caso clínico de carcinoma hepatocelular (CHC) exofítico con debut hemorrágico, de las características de este y las peculiaridades de su manejo clínico.
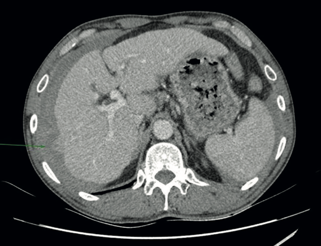
Material y Métodos: Paciente varón de 50 años que debuta con cuadro de hemoperitoneo espontáneo tratado de forma conservadora. Tras completar el estudio es diagnosticado de CHC sobre hígado no cirrótico con sobreinfección viral VHB/VHD catalogado como estadio 0/A de la Barcelona Clinic Liver Cancer (BCLC).
Resultados: Se realiza subsegmentectomía del segmento VI y VII. Presenta postoperatorio tórpido con diagnóstico de carcinomatosis peritoneal y diseminación hepática al mes de la cirugía.
Discusión: El CHC exofítico no dispone de una definición estandarizada. Su manejo quirúrgico y opciones de tratamiento intervencionista pueden precisar de adaptaciones específicas del algoritmo BCLC. Las lesiones exofíticas presentan un riesgo aumentado de rotura espontánea. Es necesario profundizar en su estudio para aportar un abordaje multidisciplinar efectivo.
DOI: http://dx.doi.org/10.35687/s2452-454920260022852
Copyright (c) 2026 Revista de Cirugía

Este obra está bajo una licencia de Creative Commons Reconocimiento 4.0 Internacional.




