ESTRATEGIAS PARA IMPLEMENTAR EL MANEJO NO OPERATORIO EN CANCER DE RECTO
Resumen
El principal reto para los distintos equipos de coloproctología que están adoptando por primera vez el manejo no operatorio de cáncer de recto o Watch and Wait (WW) es la rigurosidad en el seguimiento a largo plazo y su capacidad de respuesta frente al recrecimiento.
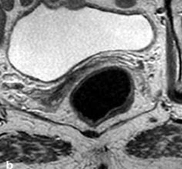
La evidencia demuestra que la incorporación de pacientes a un protocolo de manejo no operatorio está condicionada no sólo al tamaño, estadío y factores de riesgo, sino que también a la altura del tumor para un mejor seguimiento.
Se realizó una revisión actualizada con búsqueda bibliográfica a través de MEDLINE, Google Scholar y Embase sin restricción de tiempo o idioma. Se incluyó estudios de cáncer de recto tratado con radioquimioterapia (RQT) neoadyuvante y manejados con WW.
Se requieren más estudios y seguimientos prolongados para establecer mejores resultados y terapias para implementar la estrategia WW.
El objetivo de este trabajo es establecer estrategias de selección estrictas para el manejo de WW en pacientes con cáncer de recto tratados con (RQT) neoadyuvante que han presentado respuesta clínica completa. Además, discutir la evidencia de los principales estudios de neoadyuvancia con terapia neoadyuvante total (TNT).
DOI: http://dx.doi.org/10.35687/s2452-454920260012708
Copyright (c) 2026 Revista de Cirugía

Este obra está bajo una licencia de Creative Commons Reconocimiento 4.0 Internacional.




