Tabla de contenidos
Editorial
Guillermo Bannura C.
|
|
Imágenes y Cirugía
![]() |
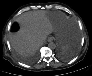
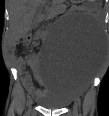
Camila Valenzuela Labra, Raúl Valenzuela Labra, Jaime Cruz Fuentes, Matías Orellana Pérez, Marcelo Villarroel Soto, Hernán Valenzuela Valenzuela
|
|
Artículos Originales
Sergio Leonardo Sepúlveda Pereira, Diego Andres Quispe Valdes, Luis Felipe Selman Briceño, Enrique . Larrain Compagnon, Stefan Vladimir Danilla Enei, Cristian Antonio Erazo Cortes, Claudia Rocio Albornoz Garrido, Patricio Ricardo Andrades Cvitanic
|
|
Edna Lizeth Castrillon Peña, Lithey Cristina Poveda Conde, Maria Camila Suaza Vallejo, Marlio Vanegas Vidal, Juan Camilo Barrios Torres, Hernán Isaías Vargas Plazas
|
|
Hector Conrado Jimenez Sanchez, Carlos Mauricio Martinez Montalvo, Edwin Romero Mejia, Rolando Medina Rojas, Wilmer Felipe Botache Capera, Juan Felipe Sanjuan Marin, Adriana Del Pilar Morales Guzman, Alejandra Duran Montes, Jhon Fredy Salamanca Montilla
|
|
Eduardo Mordojovich Zúñiga, Leonardo Espindola Silva, Ernesto Melkonian Tumani, Daniella Espinola Marin, Constanza Villalón Montenegro, Christian Jensen Benitez, Aldo Cuneo Zuñiga, Marco Puga Alvarez, Cesar Sandoval Sepulveda, Ignacio Miranda Mendoza
|
|
Natalia Moreno Baeza, Viviana Saavedra Jaña, Tamara Peters Alvarez, Nicolas Von Jentschyk Rojas, Gunther Bocic, Antonella Sanguineti Montalva, Mario Abedrapo Moreira, Jose Luis Llanos Bravo, Rodrigo Azolas Marco, Mauricio Diaz Beneventi, Hernan Soto San Martin, Felipe Bocic W.
|
|
Francisco Lopez-Kostner, Carlos Alberto Miranda Fernández, Alejandro Jose Zarate, Claudio Wainstein, Udo Kronberg, Alejandra Ponce
|
|
Roberto González L., Alejandra Riquelme, Alberto Fuentes E., Jorge Canales Z., Enrique Seguel S., Aleck Stockins L., Andrés Jadue T., Rodrigo Reyes M., René Saldías F., Emilio Alarcón C.
|
|
Casos Clínicos
Alberto Vilar-Tabanera, Francisco Javier García-Angarita, Elena Mendía-Conde, Joaquín Gómez-Ramirez
|
|
Hanner Acevedo-Reyes, Silvio Cohen-Ríos, Jarib Álvarez-Jiménez, Ronald Yesid Maestre-Serrano
|
|
Carlos Paredes Miranda, María Augusta Velasco Basantes, Xavier Wong Achi
|
|
Roberto González L., Rodrigo Reyes M., Alejandra Riquelme U., Enrique Seguel S., Aleck Stockins L., Andrés Jadue T., Emilio Alarcón C.
|
|
Artículos de Revisión
Ricardo Zenón Espinoza González
|
|