Quiste dermoide latero cervical

Daniel Rappoport Wurgaft, Matías Rau Moreno
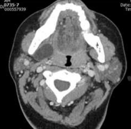
Imagen de portada

Resumen


 

15               Introducción: Los quistes dermoides son lesiones de origen ectodérmico poco frecuentes.

16              

17

 

Solo un 1,6% de ellos, se presenta en el piso de la boca y de éstos, solo un 6% lateralmente

18               en el espacio submandibular. Objetivo: Reporte de caso y revisión de la literatura. Caso

19               Clínico: Se presenta un caso de una paciente de 32 años, con un cuadro de 1 año de

20               evolución caracterizado por una lesión de crecimiento lento pero sostenido. Se le realizó la

21              

22

 

resección de la lesión junto con una submandibulectmía ipsilateral resultando compatible

23               con un quiste dermoide. Discusión: La localización de esta lesión es muy infrecuente. En el

24               estudio histopatológico son lesiones con epitelio pluri estratificado cornificado y anexos

25               cutáneos. El estudio de imágenes orienta a una lesión quística, siendo la resonancia nuclear

26               hoy en día el mejor examen para caracterizar esta lesión. Es una lesión benigna, sin

27              

28

 

recidivas reportadas cuando la resección ha sido completa.


Rappoport Wurgaft D, Rau Moreno M. Quiste dermoide latero cervical. Rev Cir.. 2020;72(5). Disponible en: doi:10.35687/s2452-45492020005837 [Accessed 31 oct. 2025].
Rappoport Wurgaft, D., & Rau Moreno, M. (2020). Quiste dermoide latero cervical. Revista de Cirugía, 72(5). doi:http://dx.doi.org/10.35687/s2452-45492020005837


DOI: http://dx.doi.org/10.35687/s2452-45492020005837

Copyright (c) 2020 Revista de Cirugía

Licencia de Creative Commons
Este obra está bajo una licencia de Creative Commons Reconocimiento 4.0 Internacional.