Hernia de Morgagni bilateral, reparación asistida por laparoscopia.

Resumen
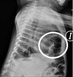
Paciente de sexo femenino de 5 meses con diagnóstico de Trisomía 21. Ecocardiograma control evidencia hernia diafragmática, se solicitan radiografías de tórax diagnosticando Hernia de Morgagni (HM).
Mediante laparoscopia se repara el defecto, colocando sutura de politereftalato de etileno 2-0 de forma percutánea a través de la pared abdominal.
La HM es una forma rara de hernia diafragmática con incidencia del 1 a 6%.
DOI: http://dx.doi.org/10.35687/s2452-45492020002675
Copyright (c) 2020 Revista de Cirugía

Este obra está bajo una licencia de Creative Commons Reconocimiento 4.0 Internacional.