TUMOR SÓLIDO PSEUDOPAPILAR DE PÁNCREAS. Reporte de caso.
 
            Resumen
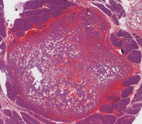
Introducción: El tumor sólido pseudopapilar del páncreas es una rara entidad que representa menos del 1% de las neoplasias pancreáticas. Suele presentarse en mujeres jóvenes y solo da síntomas de carácter compresivo una vez que alcanza un gran tamaño. Dado su comportamiento biologico incierto el tratamiento es la cirugía. Caso Clínico: Presentamos el caso de una mujer de 23 años con historia de 1 año de evolución de dolor epigástrico y baja de peso. El estudio imagenologico demostro una masa heterogenea solida-quistica dependiente de la cabeza del pancreas de aspecto neoplasico. Se realizo una biopsia incisional laparoscopica cuyo resultado fue de un tumor maligno indiferenciado, por lo que se opto por la reseccion quirurgica. Se realizó una pancreatoduodenectomía abierta sin incidentes con un post operatorio favorable. Los análisis histopatológico e inmunohistoquímico fueron compatibles con un tumor sólido pseudopapilar de páncreas.
DOI: http://dx.doi.org/10.35687/s2452-45492020005660
Copyright (c) 2020 Revista de Cirugía

Este obra está bajo una licencia de Creative Commons Reconocimiento 4.0 Internacional.
 
                                                     
                                                     




